CT Scan Orbits With Contrast (₹ 2115)     Book An Appointment

Diagnopein CT Scan Orbits With Contrast Centre in Nashik

Diagnopein CT Scan Orbits With Contrast Centre in Nashik

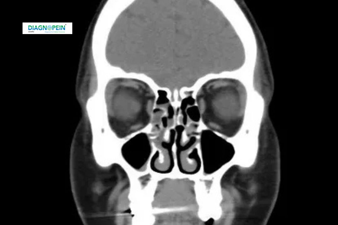
A CT Scan of the orbits with contrast is an advanced imaging test used to examine the eye sockets, surrounding bones, and soft tissues in fine detail. The “contrast” part refers to a special dye injected into the bloodstream to highlight blood vessels, muscles, and possible abnormalities within the orbital region.
At Diagnopein, Nashik, this test helps radiologists detect conditions such as infections, fractures, tumors, inflammatory diseases, or vascular issues around the eyes. It offers precise visualization and helps ophthalmologists and surgeons plan effective treatments or surgeries.

CT Scan Orbits With Contrast Centre in Nashik    Book Appointment

What is a CT Scan of the Orbits With Contrast?

CT Orbit With Contrast is a specialized diagnostic scan that combines X-ray imaging with computer processing to produce cross-sectional images of the eye region. Unlike a non-contrast scan, the use of contrast material allows for clearer differentiation between normal tissues and pathological changes.
This scan is often prescribed by doctors to evaluate orbital trauma, eye protrusion (proptosis), vision loss, or suspected tumors. It plays a vital role in differentiating inflammatory lesions from neoplastic ones and helps in understanding the blood supply to the affected area.


Importance of CT Scan Orbits With Contrast Placement

Proper contrast placement during this test ensures enhanced accuracy and diagnostic reliability. When the contrast medium reaches the orbital blood vessels, it highlights subtle details such as:

  1. Inflammation of the optic nerve

  2. Vascular malformations around the eyes

  3. Presence of tumors or cysts

  4. Spread of infections or sinus-related complications

For patients in Nashik, opting for Diagnopein ensures timely diagnosis with expert supervision. The placement and timing of contrast administration are handled by trained radiology professionals, ensuring both safety and diagnostic clarity.


Benefits of CT Orbit Scan With Contrast

The test offers multiple clinical benefits that make it a preferred choice among ophthalmologists and ENT specialists.

  1. Delivers high-resolution images of orbital structures.

  2. Detects early-stage orbital fractures or mass lesions.

  3. Differentiates between vascular and non-vascular lesions.

  4. Helps determine post-surgical changes or complications.

  5. Provides crucial data for pre-surgical planning.

Diagnopein in Nashik uses advanced multi-slice CT scanners, enabling faster image acquisition with minimal radiation exposure while maintaining clarity and precision.


How CT Scan Orbits With Contrast is Performed

The procedure is simple, quick, and painless:

  1. The patient is asked to lie down on the CT scanner table.

  2. An intravenous (IV) line is placed in the arm for contrast injection.

  3. The contrast dye flows through the blood vessels, enhancing the visibility of the orbital area.

  4. The scanner moves around the patient’s head, capturing detailed cross-sectional images.

  5. The entire process takes about 10–15 minutes.

Radiologists at Diagnopein ensure all safety protocols are followed, especially for patients with allergies, kidney issues, or prior contrast reactions. Hydration is usually advised before and after the test to help flush the contrast agent out of the body.


Parameters and Technical Aspects

CT scans of the orbits are done using thin-slice parameters (0.5–1 mm) for maximum detail. The scan covers:

  1. Eye sockets (orbits)

  2. Optic nerve and optic canal

  3. Extraocular muscles

  4. Lacrimal glands and adjoining sinuses

Contrast dosage and scan parameters adjust based on age, weight, and the clinical indication. The radiation dose is optimized for patient safety while maintaining image clarity.


Why Choose Diagnopein in Nashik

Diagnopein in Nashik is known for advanced diagnostic imaging services that combine technology with care.
Reasons to choose Diagnopein for your CT Orbit Scan With Contrast:

  1. Latest multi-detector CT scanner technology.

  2. Trained radiologists and technicians.

  3. Fast reporting with accurate interpretation.

  4. Hygienic environment adhering to safety standards.

  5. Affordable CT scan cost in Nashik for all patients.

At Diagnopein, patient comfort and diagnostic precision come first.

Diagnopein CT Scan Orbits With Contrast Treatement Cost     Book Appointment

Talk to Our Radiologist.

  I HereBy Consent to receive calls/messagess from Diagnopein Radiologist and its partners and override DND settings