X RAY RIGHT PALM AP/LAT (₹ 500)     Book An Appointment

Diagnopein X RAY RIGHT PALM AP/LAT Centre in Karad

Diagnopein X RAY RIGHT PALM AP/LAT Centre in Karad

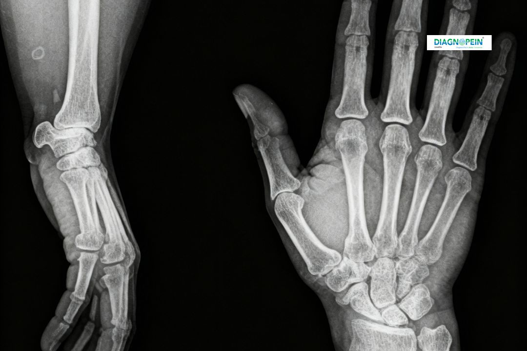
An X-Ray Right Palm AP/LAT (Anteroposterior and Lateral view) is a specialized diagnostic imaging test that captures detailed images of the bones, joints, and soft tissues of the right hand. It helps doctors identify fractures, dislocations, degenerative bone conditions, and infections affecting the palm and wrist region. At Diagnopein in karad, high-quality digital X-ray machines ensure precise images with minimal radiation exposure, helping clinicians make accurate diagnoses efficiently.

The AP (anteroposterior) view shows bones from front to back, while the LAT (lateral) view displays them from the side. Together, these two angles provide a comprehensive understanding of the bone structure, making it easier for orthopedists to assess injuries and joint alignment in detail.

X RAY RIGHT PALM AP/LAT Centre in Karad    Book Appointment

Importance of X-Ray Right Palm AP/LAT

An X-Ray of the Right Palm AP/LAT view is vital for evaluating various conditions that affect the hand, wrist, and forearm. It is commonly recommended after trauma, falls, or repetitive stress injuries. Early detection through X-ray can prevent complications and guide proper treatment.

Common Reasons for the Test

  1. Suspected fractures or bone cracks in the right hand or wrist

  2. Deformities or misalignments in the palm joints

  3. Detection of bone infections, cysts, or tumors

  4. Assessment of arthritis and joint degeneration

  5. Evaluation after surgical fixation or orthopedic procedures

In karad, Diagnopein provides this service under the guidance of trained radiologists using modern digital X-ray systems that deliver fast results and superior image clarity.

Benefits of X-Ray Right Palm AP/LAT

Getting a Right Palm X-Ray AP/LAT in karad is beneficial for accurate, non-invasive, and quick evaluation of hand-related issues. Some major benefits include:

  1. Early identification of bone fractures and dislocations

  2. Real-time imaging support for emergency or injury cases

  3. Minimal patient preparation and quick imaging time

  4. Cost-effective diagnostic solution for bone assessment

  5. High-resolution digital output suitable for further medical review

Because of its affordability and accuracy, many healthcare providers in karad recommend Diagnopein for palm and wrist imaging.

How the X-Ray Right Palm AP/LAT Test is Done

The X-Ray Right Palm AP/LAT procedure at Diagnopein in karad is simple, safe, and completely painless.

Step-by-Step Procedure

  1. The patient is asked to remove metal objects like rings or bracelets.

  2. The palm is positioned on the X-ray table in the AP (front-to-back) view.

  3. A lateral (side-view) image is then taken to complete the examination.

  4. The radiographer ensures proper alignment to capture every detail of the bones and joints.

  5. The X-ray images are reviewed by an expert radiologist, and a report is provided within a short time.

This test usually takes less than 10 minutes and does not require fasting or any special preparation, making it comfortable even for elderly patients or children.

Parameters and Reporting

The main parameters evaluated in an X-Ray Right Palm AP/LAT include:

  1. Bone integrity and fracture lines

  2. Joint spaces and alignment

  3. Soft tissue swelling or calcification

  4. Post-surgical changes like implants or plates

  5. Bone density indications for osteoporosis

Each X-ray is studied by experienced radiologists at Diagnopein in karad, ensuring detailed, accurate reporting for your doctor’s reference.

Why Choose Diagnopein in karad for X-Ray Right Palm AP/LAT

Diagnopein in karad is a trusted diagnostic center known for accurate imaging and patient-friendly service. The facility combines advanced radiology equipment with a highly trained team to deliver dependable diagnostic reports. Features include:

  1. Advanced digital X-ray machines with minimal radiation

  2. Same-day report delivery

  3. Experienced radiologists specializing in musculoskeletal imaging

  4. Hygienic, comfortable environment for all patients

  5. Affordable pricing for local residents in karad

Getting your X-Ray Right Palm AP/LAT at Diagnopein ensures precision, convenience, and high diagnostic value for your doctor’s evaluation.

Diagnopein X RAY RIGHT PALM AP/LAT Treatement Cost     Book Appointment

Talk to Our Radiologist.

  I HereBy Consent to receive calls/messagess from Diagnopein Radiologist and its partners and override DND settings