X RAY RIGHT FOOT AP/OBLIQUE (₹ 500)     Book An Appointment

Diagnopein X RAY RIGHT FOOT AP/OBLIQUE Centre in Karad

Diagnopein X RAY RIGHT FOOT AP/OBLIQUE Centre in Karad

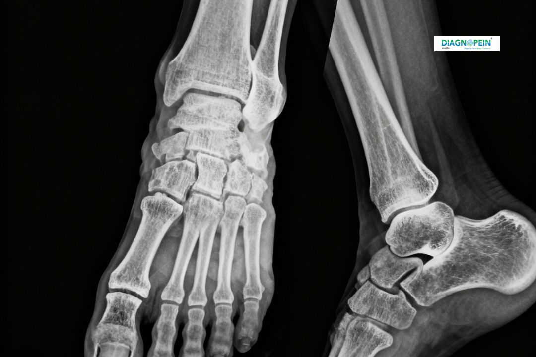
At Diagnopein in Karad, we provide accurate X-Ray Right Foot AP/Oblique imaging to help diagnose bone and joint problems efficiently. This diagnostic test uses low-dose X-rays to create detailed images of the right foot in anteroposterior (AP) and oblique views, allowing doctors to assess fractures, dislocations, deformities, or bone infections.
Our advanced equipment and experienced radiologists ensure precise imaging, making Diagnopein the preferred diagnostic center in Karad for foot X-rays and other imaging studies.

X RAY RIGHT FOOT AP/OBLIQUE Centre in Karad    Book Appointment

Why X-Ray Right Foot AP/Oblique is Important

An X-Ray of the right foot in AP and Oblique views is crucial for identifying underlying injuries or conditions affecting the bones, joints, and soft tissues of the foot.
It provides a complete visual assessment of the metatarsal bones, ankle joints, and surrounding structures from two angles, helping physicians to:

  1. Detect bone fractures, stress injuries, or cracks hidden in a single-view X-ray.

  2. Identify structural deformities such as flat feet, bunions, or bone spurs.

  3. Evaluate post-surgical bone alignment or healing progress.

  4. Diagnose joint disorders, arthritis, or infections affecting the foot.

In Diagnopein Karad, we ensure timely results and provide clear, high-resolution digital images for accurate diagnosis and treatment planning.

Benefits of X-Ray Right Foot AP/Oblique

Getting an X-Ray of the right foot in AP and Oblique views comes with several benefits, especially when performed at a trusted diagnostic center like Diagnopein Karad.
Key benefits include:

  1. Detailed two-view imaging: Gives a comprehensive view of the bone structure for accurate interpretation.

  2. Quick and painless procedure: The scan is completed within minutes and causes no discomfort.

  3. Early detection: Helps detect even small fractures or bone misalignments early.

  4. Accessible and affordable: Available at an affordable cost in Karad, suitable for both emergency and routine diagnostic needs.

  5. Digital results: High-quality digital X-rays are reviewed instantly by radiologists for quick report generation.

Procedure – How the Test is Done

At Diagnopein in Karad, the X-Ray Right Foot AP/Oblique procedure is simple and entirely non-invasive.

  1. Preparation: No fasting or special preparation is required. Patients may need to remove footwear and metallic accessories before the test.

  2. Positioning: The patient must place the right foot on the X-ray plate. For the AP view, the X-ray beam passes from the front to the back of the foot. For the Oblique view, the foot is angled slightly to visualize bones and joints more clearly.

  3. Imaging: The technologist captures two images – one AP and one Oblique, using a low radiation dose.

  4. Duration: The entire process takes about 5–10 minutes. Reports are usually ready within a few hours.
    Our modern X-ray machines in Karad ensure minimal radiation exposure with the highest imaging clarity.

Parameters and Technical Details

  1. Views Taken: AP (Anteroposterior) and Oblique

  2. Purpose: Evaluation of fractures, deformities, joint integrity, and bone lesions

  3. Radiation Dose: Minimal and safe for routine examinations

  4. Reporting Time: 2–4 hours

  5. Recommended For: Injury evaluation, pain or swelling in the right foot, post-surgery follow-up, arthritis monitoring

  6. Available At: Diagnopein Diagnostic Center, Karad

Why Choose Diagnopein in Karad for X-Ray

  1. High-resolution digital X-ray systems for enhanced accuracy

  2. Expert radiologists with years of diagnostic experience

  3. Quick report turnaround

  4. Strict hygiene and safety protocols

  5. Convenient location in Karad, accessible for nearby residents and patients

At Diagnopein Karad, we prioritize precision, comfort, and trust. Our goal is to help doctors diagnose confidently and patients recover faster through dependable imaging services like the X-Ray Right Foot AP/Oblique.

Diagnopein X RAY RIGHT FOOT AP/OBLIQUE Treatement Cost     Book Appointment

Talk to Our Radiologist.

  I HereBy Consent to receive calls/messagess from Diagnopein Radiologist and its partners and override DND settings