X RAY CHEST 6 X 8 (₹ 300)     Book An Appointment

Diagnopein X RAY CHEST 6 X 8 Centre in Karad

Diagnopein X RAY CHEST 6 X 8 Centre in Karad

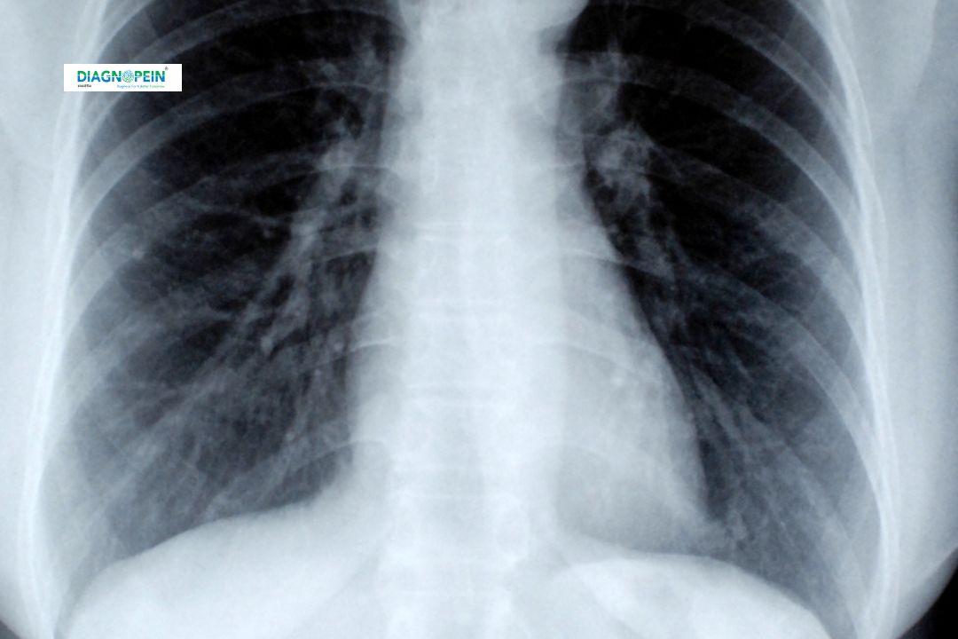
At Diagnopein Karad, the X-Ray Chest 6x8 test is one of the most essential and commonly performed radiological investigations used to evaluate the condition of the lungs, heart, and chest wall. This diagnostic imaging technique uses low levels of ionizing radiation to produce clear black-and-white images of the chest area.

Doctors often recommend an X-Ray Chest 6x8 when symptoms like chronic cough, chest pain, shortness of breath, or fever persist for an extended period. It helps detect and monitor a wide range of conditions such as pneumonia, tuberculosis, lung infections, heart enlargement, rib fractures, and other thoracic abnormalities.

X RAY CHEST 6 X 8 Centre in Karad    Book Appointment

Why X-Ray Cervical Spine AP is Also Important

While the X-Ray Chest 6x8 focuses on the thoracic area, the X-Ray Cervical Spine AP (Anteroposterior) is another significant diagnostic imaging test used to assess the neck portion of the spine. At Diagnopein Karad, this test helps in evaluating neck injuries, cervical spondylosis, trauma, or postural problems.

Combining both tests can offer comprehensive insights into respiratory and musculoskeletal health. For instance, certain neck conditions may contribute to shoulder or chest discomfort, making these imaging studies complementary for complete diagnosis.

Importance of X-Ray Chest 6x8

The X-Ray Chest 6x8 plays a crucial role in early detection and ongoing monitoring of multiple diseases. Some major reasons why this test is vital include:

  1. Detects lung infections such as pneumonia, bronchitis, or tuberculosis.

  2. Helps identify chronic lung diseases like COPD or asthma-related complications.

  3. Assists in diagnosing cardiac abnormalities such as heart enlargement or pericardial effusion.

  4. Evaluates the patient’s chest post-surgery or after medical procedures.

  5. Detects fractures, bone lesions, or air-fluid levels in the thoracic cavity.

At Diagnopein Karad, modern X-Ray technology ensures accurate interpretation with minimum radiation exposure, adhering to international imaging safety standards.

Benefits of Getting X-Ray Chest 6x8 at Diagnopein Karad

Choosing Diagnopein Karad for your chest X-Ray guarantees top-quality care with precision and comfort.

  1. High-definition digital X-Ray machines for clear imaging.

  2. Experienced radiologists who ensure accurate diagnosis.

  3. Low radiation dose technology for safer testing.

  4. Same-day reports for quick clinical decisions.

  5. Comfortable environment and professional service throughout the process.

Because Diagnopein uses digital imaging technology, patients and doctors can easily share and store results for follow-up purposes, making it a preferred diagnostic center in Karad.

How the X-Ray Chest 6x8 Test is Done

The procedure at Diagnopein Karad is simple and quick, taking only a few minutes:

  1. The patient is asked to stand or sit in front of an X-Ray plate.

  2. A technologist positions the chest properly to capture clear images.

  3. You will be asked to take a deep breath and hold it for a few seconds while the image is taken.

  4. The process is painless and non-invasive, requiring no special preparation or fasting.

Patients are advised to remove metal objects or jewelry before the imaging process to avoid interference. For pregnant women, disclosure is essential so alternative imaging options can be considered.

Parameters and Technical Details

The X-Ray Chest 6x8 uses:

  • Standard field size: 6x8 inches

  • Digital radiography system

  • Low voltage high-frequency radiation for minimal exposure

  • Output displayed on high-resolution monitors for precise analysis

Radiologists at Diagnopein Karad evaluate lung fields, cardiac silhouette, costophrenic angles, ribs, and diaphragm contours to ensure every detail is analyzed thoroughly.

Why Choose Diagnopein Karad

Diagnopein Karad is known for its commitment to quality imaging, patient safety, and precise reporting. Every test is performed under expert supervision, and reports are reviewed by certified radiologists. The center ensures transparency in results, affordable pricing, and uses cutting-edge technology to achieve faster and more reliable outcomes.

For patients in Karad, Diagnopein is the trusted name for all types of X-Ray tests, including X-Ray Chest 6x8X-Ray Cervical Spine AP, and other radiology investigations aimed at ensuring better healthcare outcomes.

Diagnopein X RAY CHEST 6 X 8 Treatement Cost     Book Appointment

Talk to Our Radiologist.

  I HereBy Consent to receive calls/messagess from Diagnopein Radiologist and its partners and override DND settings
faq image

Frequently Asked Questions

No special preparation is needed. However, you may be asked to remove jewelry or clothing that might interfere with the X-ray images.

It helps diagnose conditions like pneumonia, lung cancer, heart disease, fractures, infections, and lung conditions like tuberculosis or COPD.

Yes, a small amount of radiation is used, but the exposure is minimal and considered safe for most patients.

It can detect lung diseases, heart conditions, fractures, fluid in the lungs, pneumonia, and even some tumors or masses.