FOOT AP/LAT. VIEW (₹ 350)     Book An Appointment

Diagnopein FOOT AP/LAT. VIEW Centre in Karad

Diagnopein FOOT AP/LAT. VIEW Centre in Karad

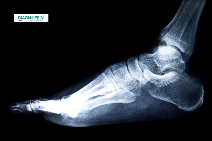
The FOOT AP/LAT. VIEW refers to the Anteroposterior (AP) and Lateral (LAT) radiographic views of the foot, which are essential x-ray projections used in medical imaging to diagnose injuries, deformities, and pathological conditions in the foot. The AP view provides a front-to-back image, while the LAT view offers a side profile, together giving a complete assessment of bone alignment, joint spaces, and soft tissue structures.

FOOT AP/LAT. VIEW Centre in Karad    Book Appointment

Why is FOOT AP/LAT. VIEW Important?

Foot conditions such as fractures, arthritis, bone spurs, infections, and congenital deformities require precise imaging for accurate diagnosis and effective treatment planning. FOOT AP/LAT. VIEW is critical because it enables doctors to see multiple angles of bones, joints, and soft tissues, helping to:

  1. Detect fractures and dislocations with clarity

  2. Assess joint spaces in conditions like arthritis

  3. Identify bone abnormalities or infections

  4. Guide surgical planning and monitor healing progress

Without these views, critical details could be missed, resulting in misdiagnosis or delayed treatment.

Benefits of FOOT AP/LAT. VIEW X-Ray

  1. Non-invasive and Quick: The procedure is painless and generally completed within minutes.

  2. Cost-effective: Compared to advanced imaging techniques, x-rays are affordable and widely available.

  3. High Diagnostic Value: Provides a clear visualization of bone structures, essential for orthopedic and podiatric care.

  4. Minimal Radiation Exposure: Uses low-dose radiation making it safe for routine examinations.

These benefits make FOOT AP/LAT. VIEW a default initial diagnostic tool for foot-related complaints.

How is FOOT AP/LAT. VIEW Testing Performed?

The testing involves the following steps:

  1. Patient Positioning

    • For the AP view, the patient’s foot is placed flat on the x-ray table or plate with toes pointing upward.

    • For the LAT view, the foot is positioned on its side to capture the profile of the bones.

  2. Image Acquisition

    • The radiographer aligns the x-ray beam perpendicular to the foot for the AP view.

    • For the LAT view, the beam is directed from the medial or lateral side depending on clinical requirements.

  3. Processing

    • The x-ray images are developed digitally and reviewed by a radiologist or orthopedic specialist.

  4. Interpretation

    • The images are analyzed for fractures, dislocations, alignment, bone density, joint integrity, and any abnormal lesions.

Diagnopein FOOT AP/LAT. VIEW Treatement Cost     Book Appointment

Talk to Our Radiologist.

  I HereBy Consent to receive calls/messagess from Diagnopein Radiologist and its partners and override DND settings